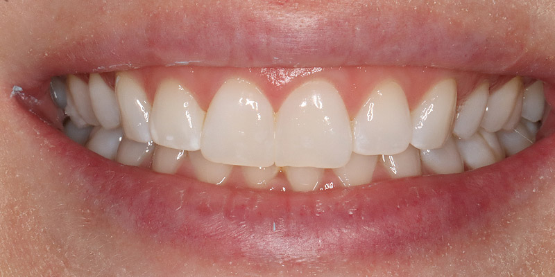
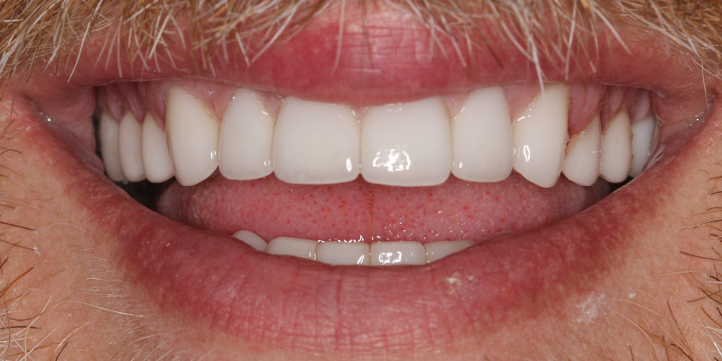
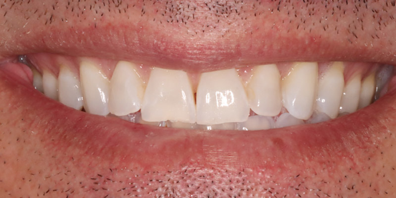
Phoenix Smile Makeovers
Phoenix smile makeovers at Studio B Smiles are about helping you feel completely confident when you walk into a room. If you find yourself hiding your smile in photos or noticing chips, discoloration, or uneven teeth, we take the time to understand what’s bothering you and what you’d love to see instead. From veneers and whitening to Invisalign and restorative treatments, every detail is thoughtfully planned to create results that look natural, balanced, and true to you. When you’re ready for a smile that feels polished but never overdone, schedule your appointment with Studio B Smiles in Phoenix.
Why Choose Studio B Smiles for Smile Makeovers in Phoenix, AZ?
A smile makeover is a personal investment, and choosing the right cosmetic dentist in Phoenix makes all the difference. At Studio B Smiles, we combine advanced aesthetic dentistry with thoughtful planning and a patient-first approach, so your results feel natural, refined, and built to last.
- Led by Dr. B: Dr. John Badolato is the official cosmetic and team dentist for the Phoenix Suns and Arizona Diamondbacks and has been recognized for excellence in cosmetic dentistry by Phoenix Magazine, Ranking Arizona, and the Phoenix Business Journal.
- Advanced digital planning: We use state-of-the-art imaging and smile design technology to plan your makeover with precision and clarity before treatment begins.
- Comprehensive cosmetic expertise in one location: From veneers and whitening to Invisalign and restorative enhancements, your smile transformation is carefully coordinated in our Phoenix office.
- Aesthetic-focused results: Your new smile is designed to look balanced, natural, and tailored to your facial features and professional image.
- Comfort-driven experience: Our experienced team prioritizes clear communication, efficiency, and attentive care at every stage of your treatment.
What Is a Smile Makeover?
A smile makeover is a personalized plan to improve the overall look and feel of your smile. Instead of relying on one single procedure, we combine treatments such as veneers, professional whitening, crowns, Invisalign, or dental implants to address concerns like discoloration, chips, gaps, or uneven teeth. Every detail is thoughtfully planned around your features, your bite, and what you want your smile to say about you. The goal is simple: a result that looks natural, feels comfortable, and fits seamlessly into your life.
Common Smile Makeover Procedures in Phoenix
A smile makeover can involve a combination of cosmetic dentistry and restorative dental treatments, depending on what you’d like to improve. Some patients want a brighter, more even smile, while others need to address worn, damaged, or missing teeth. Below are the procedures most commonly included in a customized smile makeover plan in Phoenix.
Teeth Whitening
Professional teeth whitening in Phoenix is often one of the simplest ways to refresh your smile. In-office treatments can lift deep stains caused by coffee, wine, or aging, helping your teeth look noticeably brighter in a short amount of time. Whitening can be performed on its own or as part of a larger smile makeover plan.
Porcelain Veneers
Porcelain veneers are thin, custom-crafted shells placed over the front of your teeth to improve color, shape, and symmetry. They are commonly used to address chips, gaps, uneven edges, and discoloration that does not respond to whitening. Veneers are designed to look natural and complement your facial features.
Dental Crowns
Phoenix dental crowns restore teeth that are weakened, worn down, or significantly damaged. A crown fully covers the visible portion of the tooth, improving both strength and appearance. In a smile makeover, crowns can enhance uniformity while protecting long-term function.
Dental Implants
Dental implants replace missing teeth by securing a custom restoration to a small post placed in the jawbone. They help restore your smile’s appearance while also supporting bite stability and bone health. Implants are often recommended when gaps affect both aesthetics and function.
Invisalign®
Invisalign uses a series of clear, removable aligners to gradually straighten teeth. It is a discreet option for correcting crowding, spacing, or mild bite concerns. For many patients, Invisalign is an important first step before completing cosmetic enhancements.
Dental Bonding
Dental bonding uses a tooth-colored resin to reshape or repair small imperfections such as chips, minor gaps, or uneven edges. It is a conservative option that can quickly enhance the appearance of a tooth with minimal alteration.
Gum Contouring
Gum contouring gently reshapes excess or uneven gum tissue to create a more balanced smile. By refining the gum line, we can improve proportions and help your teeth appear more symmetrical and harmonious.
What Dental Issues Can a Smile Makeover in Phoenix Address?
A smile makeover in Phoenix is designed to improve both the appearance and overall harmony of your teeth. Whether your concerns are subtle or more noticeable, we combine the right treatments to create a result that feels polished, natural, and aligned with your goals. Common concerns a smile makeover can address include:
- Stained or discolored teeth that do not respond to over-the-counter whitening.
- Chipped or cracked teeth that affect the symmetry of your smile.
- Gaps between teeth that draw attention when you speak or smile.
- Mild to moderate misalignment or uneven spacing.
- Worn or uneven edges caused by grinding or aging.
- Misshapen or undersized teeth that disrupt overall balance.
- Missing teeth that impact both aesthetics and bite stability.
Each plan is tailored to you, focusing on refined improvements that enhance your confidence without looking overdone.
Benefits of a Phoenix Smile Makeover
A Phoenix smile makeover is about more than improving how your teeth look. It is a thoughtful investment in how you present yourself every day, from professional meetings to social events. By combining the right cosmetic and restorative treatments, we create results that enhance both confidence and long-term oral health.
- Improved confidence: Feel more comfortable speaking, smiling, and being photographed.
- More youthful appearance: Bright, balanced teeth can soften signs of aging and refresh your overall look.
- Better symmetry and proportion: Address uneven edges, spacing, or inconsistencies for a more harmonious smile.
- Enhanced function: Correct worn, damaged, or misaligned teeth to support a healthier bite.
- Long-term durability: Modern materials and careful planning are designed for lasting, reliable results.
How Much Does a Smile Makeover Cost in Phoenix?
A smile makeover in Phoenix typically ranges from about $5,000 to $30,000 or more for a full treatment plan, with more complex cases exceeding that range. The overall cost depends on the procedures included. For example, porcelain veneers often range from approximately $800 to $2,500 per tooth, dental implants may range from $3,000 to $7,000 or more per tooth, and dental crowns commonly fall between $1,399 and $3,000 per tooth. At Studio B Smiles, every smile makeover is thoughtfully personalized, and your exact investment is outlined during your consultation once we’ve created a treatment plan designed around your specific goals.
Phoenix Smile Makeover Treatment Process
Your Phoenix smile makeover is designed to be thoughtful, structured, and completely personalized. From your first consultation through final refinements, we guide you through each phase with clarity and attention to detail. The goal is not only a beautiful result but also a smooth, well-planned experience from start to finish.
Initial Consultation
At Studio Be Smiles, we begin with a comprehensive consultation to understand your goals, concerns, and expectations. During this visit with your Phoenix dentist, we evaluate your oral health, discuss what you would like to improve, and take any necessary digital images or impressions. This is also your opportunity to ask questions and explore the options available to you.
Customized Treatment Plan
After gathering the necessary information, we create a tailored treatment plan designed specifically for your smile. We outline the recommended procedures, explain the sequence of care, and review timelines so you know what to expect. Every decision is made with balance, function, and long-term results in mind.
Implementation and Follow-up
Once your plan is finalized, we begin treatment according to the outlined timeline. Depending on your case, this may involve multiple appointments to complete each phase with precision. After your smile makeover is complete, we schedule follow-up visits as needed to ensure everything feels comfortable and looks exactly as intended.
Who Is a Candidate for a Smile Makeover in Phoenix?
A good candidate for a smile makeover in Phoenix is someone who feels their smile no longer reflects how they want to look or present themselves. You may have concerns such as discoloration, chipped or worn teeth, gaps, mild misalignment, or outdated dental work. Ideal candidates are in good overall oral health or willing to address any underlying issues before beginning cosmetic treatment. During your consultation, we evaluate your needs and determine whether a customized smile makeover is the right fit for you.
Book an Appointment for a Smile Makeover in Phoenix, AZ
Your smile should feel confident, natural, and aligned with who you are today. If you are ready to explore a personalized smile makeover in Phoenix, our team at Studio B Smiles is here to guide you through every step with clarity and care. We take time to understand your goals, explain your options, and design a plan tailored specifically to you. Schedule your consultation today by booking online or contacting our Phoenix office, and take the first step toward your smile transformation.
Phoenix Smile Makeover FAQs
How Long Does a Smile Makeover Last?
The longevity of a smile makeover depends on the treatments included and how well they are maintained. In many cases, results can last 10 to 15 years or longer. Porcelain veneers and crowns are designed for durability and often provide long-term results with proper care, while dental implants can last decades. Professional whitening may require periodic touch-ups to maintain brightness. Good oral hygiene, routine dental visits, and avoiding habits like grinding or biting hard objects all play an important role in protecting your investment and extending the life of your smile makeover.
What Age Is Best for a Smile Makeover?
There is no single “perfect” age for a smile makeover. The right time depends more on your goals and overall oral health than your age. Many patients choose a smile makeover in their 30s, 40s, or 50s to refresh their appearance or address years of wear, discoloration, or older dental work. Younger adults may also be candidates once their teeth and jaw are fully developed. The most important factor is having healthy teeth and gums and a clear vision for what you would like to improve. A consultation allows us to determine the ideal timing for you.
Is a Phoenix Smile Makeover Worth It?
For many patients, a smile makeover is well worth the investment because it enhances both appearance and confidence. Improving concerns such as discoloration, chips, gaps, or worn teeth can have a meaningful impact on how you feel in professional and social settings. Beyond aesthetics, certain treatments can also strengthen teeth and improve overall function. With proper care and regular dental visits, many smile makeover results can last a decade or longer. Ultimately, the value comes from achieving a smile that feels natural, balanced, and aligned with the way you want to present yourself.
How Long Does a Smile Makeover Take?
A smile makeover timeline can range from just a few weeks to several months or longer, depending on the treatments involved. Simple enhancements, such as professional whitening or cosmetic bonding, may take about 2-4 weeks. Moderate changes that include veneers or crowns often take 6-12 weeks, leaving time for careful planning and custom fabrication. More comprehensive transformations involving dental implants or orthodontic treatment can take 3-6 months or more, especially when healing and alignment are part of the process. The exact timeframe depends on your personalized treatment plan.



































































